SmileInspector -
AI-Driven Clear Aligner Software
AI-assisted software built for orthodontists and labs combines one-click automation with full manual control for perfect staging, every time.
*Now in Closed Beta – Get free early access and shape the future of aligner planning.
Built to fit your dental workflow
For Orthodontists
Increase patient aligner acceptance rates by utilizing AI-driven tools that display treatment plan outcomes chair-side, and affordable options for in-house or lab-based printing.
For Dental Labs
Streamline routine case prep in under one minute with AI automation, smart presets for final positioning and staging, and tools that help teams finalize treatment plans in under 30 minutes.
SmileInspector Portal coming soon
A secure workspace for real-time case collaboration, providing orthodontists with a direct line to labs and technicians, while allowing labs to share cases with supervisors for fast and streamlined approvals. Giving you full control over access, version history, and case approvals.
Smart Features, Faster Planning
Designed to streamline case setup, minimize back-and-forth, and give you clarity and control from the first click to the final export.
AI-Powered Setup in 1 minute
Accelerate case preparation with AI-powered tools for scan cleanup, articulation, segmentation, and crown matching. Refine every step manually for full clinical control when needed.
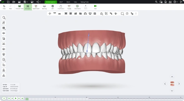
Full control over staging
SmileInspector allows you to shape every step with clarity and control. Plan and preview tooth movements in a visual timeline with adjustable speed, sequence, and direction. Separate controls for rotation and translation, plus real-time collision detection, ensure precise and safe outcomes.
Why Trust Us
SmileInspector is built on two pillars: deep industry expertise and real-world clinical input.
Clinically Driven
At the same time, we work closely with orthodontists across the US, Europe, and Latin America to ensure the tools match real clinical needs. Our FDA application is already in progress, and by the time we exit beta, SmileInspector will be ready for clinical use in regulated markets.
20 Years of Innovation
We’ve spent over 20 years developing advanced dental software for global industry leaders, with more than 30 patents and dozens of successful CAD/CAM projects to show for it. Our engineering team brings unmatched experience in digital dentistry and aligner workflows.

Ruedger Rubbert
Chief Technology Officer, Brius Technologies Inc
“SmileInspector’s algorithms helped us rapidly prototype and implement advanced dental workflows. Their engineering team deeply understands orthodontic challenges and delivers powerful, flexible tools that support both R&D and clinical production.”
Pricing
SmileInspector is currently free to use during our beta period, with full access to all features and no credit card required. As a thank-you for helping shape the future of aligner planning, qualified users who share feedback during the beta will receive exclusive discounts after launch.
After beta, we’ll offer flexible plans to fit every team:
Pay per Case
Perfect for smaller teams or occasional use, with no commitment and predictable costs.
Monthly Subscription
Built for high-volume teams who want unlimited access at a flat rate.
Product Updates & News
Be the first to hear about new features, improvements, and expert tips.